Элайнеры — это современная ортодонтическая система для исправления прикуса и выравнивания зубов, представляющая собой серию прозрачных съемных капп. Они изготавливаются индивидуально для каждого пациента с использованием 3D-технологий.
Принцип работы элайнеров основан на постепенном и точно рассчитанном давлении на зубы. Каждая каппа в наборе немного отличается от предыдущей и носится около 2 недель, плавно перемещая зубы в запланированное положение. В отличие от брекетов, элайнеры воздействуют на зуб целиком, обеспечивая более комфортное и физиологичное перемещение.
Идея использования съемных капп для ортодонтии появилась еще в середине XX века, но по-настоящему революционной технология стала с развитием компьютерного моделирования и 3D-печати. Сегодня элайнеры завоевывают все большую популярность во всем мире, включая Россию, как эстетичная и удобная альтернатива брекетам.
Сервис OrtoWay сотрудничает с российским производителем Avantis 3D, предлагая высококачественные элайнеры, изготовленные по передовым технологиям.
Кроме классических элайнеров, Avantis 3D разработали инновационный продукт — Splintligners. Это уникальное решение, объединяющее функции элайнера и сплинт-шины. Splintligners не только выравнивают зубы, но и помогают при проблемах с височно-нижнечелюстным суставом (ВНЧС), таких как бруксизм (скрежетание зубами) или щелчки в суставе, обеспечивая комплексный подход к здоровью вашей улыбки и челюстной системы.
Сравнение российских производителей элайнеров

На рынке России представлено несколько ключевых систем, которые различаются по материалам, толщине капп и способности решать сложные ортодонтические задачи.
| Производитель | Материал и Толщина | Работа со сложными случаями |
|---|---|---|
| Avantis 3D (Выбор OrtoWay)Премиум | Инновационный многослойный гипоаллергенный пластик. Толщина ~0.76 мм (считаются одними из самых тонких и незаметных). | Высокая. Специализируются на лечении самых сложных патологий прикуса, включая выраженную скученность и аномалии челюстей. |
| 3D SmileБизнес | Собственный трехслойный термопластичный материал. Толщина варьируется в зависимости от этапа. | Высокая. Успешно применяются для лечения случаев средней и высокой сложности (например, закрытие промежутков до 6 мм). |
| Atlas AlignersСтандарт | Современный многослойный пластик, обеспечивающий хорошую эластичность. | Средняя. Подходят для исправления эстетических и функциональных проблем различной сложности. |
| EvrocappaЭконом / Экспресс | Чаще используется однослойный пластик. Толщина ~1.0 мм (более толстые и заметные, чем многослойные аналоги). | Низкая. Рекомендуются в основном для простых "эстетических" случаев: небольшая скученность, закрытие малых щелей (диастем). |
1. Avantis 3D (Выбор OrtoWay)
Материал и Толщина: Avantis 3D использует один из самых передовых материалов на рынке — тонкий (~0.76 мм) многослойный гипоаллергенный пластик. Эта многослойность позволяет каппе быть одновременно эластичной (для комфорта) и упругой (для эффективного давления), сохраняя при этом исключительную прозрачность.
Работа со сложными случаями: Это ключевое преимущество системы. Благодаря высокому качеству материала и точности цифрового планирования, Avantis 3D позволяет ортодонтам браться за самые сложные случаи, включая выраженные аномалии прикуса, которые ранее считались доступными только для лечения брекетами.
2. 3D Smile
Материал и Толщина: 3D Smile разработали собственный трехслойный материал, который также обеспечивает контролируемое давление и плотное прилегание.
Работа со сложными случаями: Система хорошо зарекомендовала себя на российском рынке и способна справляться со случаями от средней до высокой сложности, являясь сильным конкурентом в своем сегменте.
3. Atlas Aligners
Материал и Толщина: Atlas также использует современный многослойный пластик, что является стандартом для эффективного лечения.
Работа со сложными случаями: Производитель позиционирует систему как решение для широкого спектра ортодонтических задач, от простых до средней сложности.
4. Evrocappa
Материал и Толщина: Эта система чаще использует однослойный пластик толщиной около 1 мм. Он менее эластичен и более заметен по сравнению с многослойными аналогами, но при этом дешевле в производстве.
Работа со сложными случаями: Evrocappa — это надежное решение, но в основном для простых эстетических коррекций, таких как выравнивание передних зубов или закрытие небольших промежутков.
Почему элайнеры — это ваш выбор?
Современная ортодонтия предлагает эффективные и комфортные решения. Узнайте, почему элайнеры стали золотым стандартом исправления улыбки.
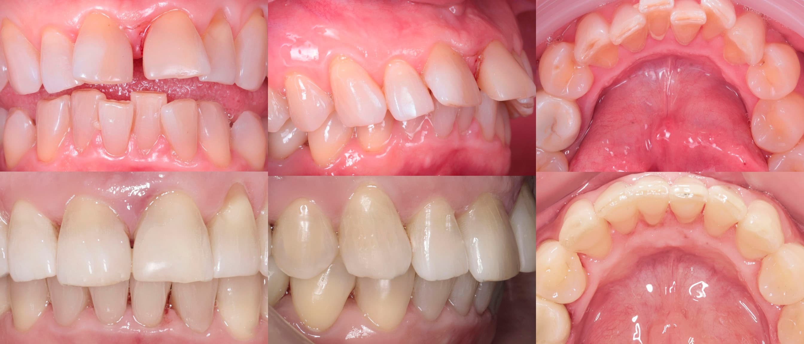
Результаты, которые вдохновляют
Посмотрите, как элайнеры помогли пациентам обрести улыбку своей мечты.

Случай 1: Общий курс лечения - 14 месяцев

Случай 2: Общий курс лечения - 18 месяцев

Случай 3: Общий курс лечения - 14 месяцев








